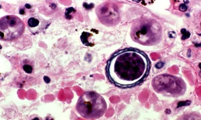
DPDx, George Healy, Ph.D, USCDCP Ameba “comedora de cérebro” Um homem morreu na Flórida, nos Estados Unidos, após ser infectado por uma ameba ‘comedora de cérebro’ ,...
DPDx, George Healy, Ph.D, USCDCP Ameba “comedora de cérebro” Um homem morreu nos Estados Unidos após contrair uma infecção causada pela ameba Naegleria fowleri , conhecida como...