Connect with us

MATO GROSSO

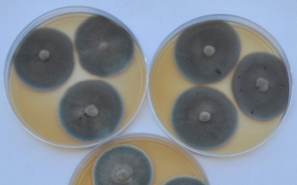
Pesquisadores de MT descobrem nova espécie de fungo capaz de descontaminar solos com mercúrio

Publicado

em

Um grupo de pesquisadores de Mato Grosso descobriu e identificou uma nova espécie de fungo endofítico no bioma do Pantanal mato-grossense capaz de ajudar a descontaminar solos com ocorrência de mercúrio. A descoberta foi confirmada após os pesquisadores realizarem o sequenciamento do microrganismo.

O fungo recebeu o nome Pseudomonodictys pantanalensis, em homenagem ao bioma Pantanal. Conforme os pesquisadores, ele vive em associação com a planta pantaneira conhecida como Corticeira, ou pelo nome científico Aeschynomene fluminensis, encontrada na região de Poconé (a 105 km de Cuiabá). 

De acordo com o coordenador da pesquisa, professor doutor Marcos Antônio Soares, a proposta do trabalho sempre foi encontrar uma solução para remediar a contaminação do solo pelo mercúrio na região próxima de Poconé, por ser um município na região pantaneira que teve um longo período de exploração de ouro, desde a sua descoberta em 1977. O mercúrio é um metal pesado tóxico e pode atacar o sistema nervoso central e periférico, bem como o trato digestivo, sistema imunológico, pulmões e rins.

“A importância do trabalho foi demonstrar que o Pantanal é uma fonte de novas espécies ainda não conhecidas pelo homem, e que podem auxiliar a sociedade a resolver problemas ambientais, como a descontaminação de solos contaminados por metais tóxicos. Esse bioma apresenta uma grande biodiversidade ainda desconhecida, que são verdadeiras ferramentas para uso na descontaminação do solo e outras funções, além de ser um repositório para novas espécies”, afirmou.

Os fungos são organismos vivos muito pequenos e  que podem ser vistos com ajuda de uma lupa ou microscópio. Eles vivem no solo, na água ou estão associados a plantas e animais, inclusive ao homem.

Várias espécies têm importância industrial, na alimentação, produção agrícola, produção de medicamentos, e algumas podem ser utilizadas para descontaminar ambientes. Os fundos são  importante para o planeta Terra porque são excelentes na ciclagem e decomposição de nutrientes. Poucas são as espécies que podem causar doenças em plantas, animais e em pessoas. 

Pesquisa
O fungo isolado foi descrito pela doutoranda Jaqueline Alves Senabio, do Programa de Doutoramento em Biotecnologia e Biodiversidade do Centro-Oeste (UFMT), e desenvolvido no Laboratório de Biotecnologia e Ecologia Microbiana da Universidade Federal de Mato Grosso (UFMT), sob a orientação do prof. Dr. Marcos Antônio Soares.

A pesquisa foi financiada com o apoio do Governo de Mato Grosso, através da Fundação de Amparo à Pesquisa do Estado de Mato Grosso (Fapemat). O projeto começou em 2014 no Programa de Núcleos de Pesquisa e Emergentes (Pronem), uma parceria com o Conselho Nacional do Desenvolvimento Científico e Tecnológico (CNPq) e Fapemat.

Fonte: GOV MT

Continue Lendo
Clique para comentar

Leave a Reply

O seu endereço de e-mail não será publicado.

MATO GROSSO

Corpo de Bombeiros combate princípio de incêndio em indústria de produção de algodão

Publicado

em

Por

O Corpo de Bombeiros Militar de Mato Grosso (CBMMT) foi acionado, na noite desta quinta-feira (16 de abril), para atender a uma ocorrência de princípio de incêndio em uma instalação industrial de produção de algodão no Distrito Industrial de Campo Novo do Parecis (a 402 km de Cuiabá).

O 3º Núcleo Bombeiro Militar (3º NBM) recebeu o chamado por volta das 22h30. Ao chegar, os bombeiros constataram que a brigada de incêndio da própria empresa já realizava o combate inicial e que a situação estava controlada, com ações de resfriamento em fardos de caroço de algodão e em um galpão adjacente, evitando a propagação das chamas.

Os militares reforçaram o combate com o estabelecimento de uma linha pelo lado oposto do barracão, intensificando o resfriamento da área atingida. Também foi orientado ao responsável pela empresa que providenciasse maquinário para a remoção do material combustível.

Com o apoio de um trator, entre 35 e 40 fardos de caroço de algodão em combustão foram retirados e levados para uma área externa, onde foi realizado o rescaldo, eliminando focos remanescentes. As chamas foram completamente extintas por volta da 1h. Não houve registro de vítimas.

Fonte: Governo MT – MT

Continue Lendo
queiroz

Publicidade

Câmara de Vereadores de Porto Esperidião elege Mesa Diretora